

तनहुँ, १७ भाद्र — नेपालबाट हरेक वर्ष लाखौँ कामदार वैदेशिक रोजगारीको लागि खाडी मुलुकदेखि मलेसिया र कोरिया–जापानसम्म जाने गरेका छन्। तर उनीहरूको यात्रामा सबैभन्दा ठूलो चुनौतीमध्ये एक हो — मेडिकल रिपोर्ट। विशेषगरी “छातीमा दाग” देखिनु धेरै नेपालीका लागि वैदेशिक रोजगारीको ढोका बन्द हुने कारण बन्दै आएको छ।

नेपालमा प्रचलित भनाइ छ — “वैदेशिक रोजगारीमा जान मेडिकल पास हुनुपर्छ”। तर मेडिकल रिपोर्टमा “Chest scar” वा “छातीमा दाग” लेखिएपछि धेरैले आफ्नो सपना त्याग्नुपरेको छ। आखिर यो दाग भनेको के हो? किन यति धेरै समस्याको कारण बन्छ? र यसबाट कसरी बच्न सकिन्छ?
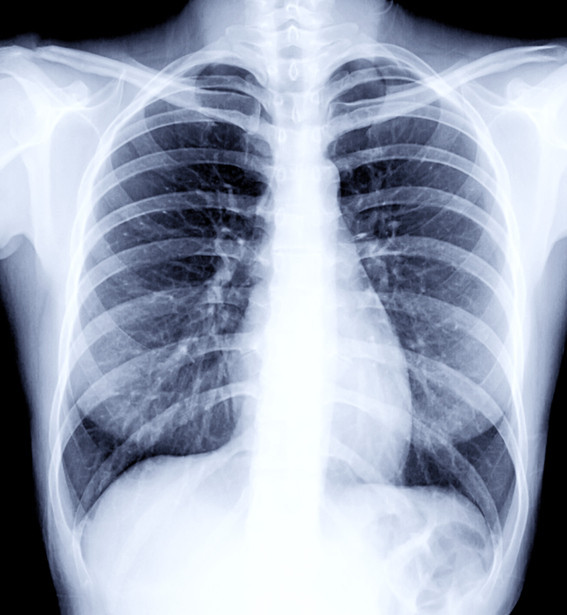
छातीमा दाग भन्नाले के बुझिन्छ?
वैदेशिक रोजगारीको लागि अनिवार्य हुने स्वास्थ्य परीक्षणमा Chest X-ray गरिन्छ। यसमा फोक्सो (lungs) को अवस्था हेर्ने गरिन्छ।
छातीमा दाग भन्नाले प्रायः फोक्सोमा पुरानो रोग, संक्रमण वा चोटपटकपछि बाँकी रहेको ‘scar’ (घाउको निशान) लाई जनाउँछ। यो दाग प्रायः सामान्यतया मानिसलाई थाहा नहुने गरी हुन्छ र X-ray गर्दा मात्र देखिन्छ।
दाग देखिनुका कारण
- क्षयरोग (Tuberculosis – TB)
- नेपाल जस्तो देशमा छातीमा दाग देखिनुको सबैभन्दा ठूलो कारण TB हो।
- रोग निको भए पनि X-ray मा सानो वा ठूलो दाग जीवनभर देखिन सक्छ।
- निमोनिया वा अन्य संक्रमण
- फोक्सोमा भएको पुरानो निमोनिया, pleurisy आदि निको भएपछि पनि दाग देखिन्छ।
- धूलो र धुवाँको असर
- खानी, ईँटा भट्टा, ढुङ्गा, धूलोयुक्त वातावरणमा लामो समय काम गर्नेहरूमा फोक्सोमा असर देखिन्छ।
- चोट वा अपरेशन
- पुरानो चोट वा शल्यक्रिया (surgery) पछि पनि X-ray मा दाग देखिन सक्छ।
वैदेशिक रोजगारीमा दाग किन समस्या हुन्छ?
वैदेशिक रोजगारीमा जाने देशहरूको प्राथमिकता “स्वस्थ श्रमिक” हो।
विशेष गरी खाडी मुलुक (कतार, साउदी अरब, युएई, कुवेत), मलेसिया र कोरियाले फोक्सो सम्बन्धी रोगलाई धेरै कडाइका साथ नियाल्छन्।
- TB सक्रिय भए (Active TB): तुरुन्त अस्वीकृत।
- पुरानो दाग भए (Inactive scar): थप परीक्षण (जस्तै sputum test) गर्न लगाइन्छ।
- यदि रिपोर्टमा रोग सक्रिय छैन भन्ने प्रमाण भए पनि कतिपय देशहरूले स्वीकार गर्दैनन्।
यसैले धेरै नेपाली श्रमिकले सबै कागजात तयार गरेर टिकट काटे पनि अन्तिममा मेडिकलमा छातीमा दाग देखिएपछि विदेश जान पाउँदैनन्।
श्रमिकको पीडा
काठमाडौंको गोंगबु बसपार्कमा भेटिएका २७ वर्षीय सन्तोष मगरले भने:
“मलेसिया जान एजेन्टलाई १ लाख ८० हजार बुझाएको थिएँ। सबै तयारी भयो, तर मेडिकलमा छातीमा दाग देखियो भनेर रोकियो। पछि अस्पताल गएर टेस्ट गर्दा रोग सक्रिय छैन भन्यो, तर कामको भिसा पाइएन। अहिले पैसा पनि गयो, रोजगारीको अवसर पनि।”
सन्तोष मात्र होइन, हरेक वर्ष हजारौँ नेपालीले यस्तै समस्या भोगिरहेका छन्।
चिकित्सकको भनाइ
शहीद शुक्रराज क्षयरोग अस्पतालका वरिष्ठ चिकित्सक डा. प्रकाश ढकाल भन्छन्:
“Chest X-ray मा देखिने दाग सधैं सक्रिय रोगको संकेत होइन। धेरै पटक रोग पुरानो भएर निको भइसकेपछि पनि दाग देखिन्छ। तर वैदेशिक रोजगारमा स्वास्थ्य परीक्षण गर्ने संस्थाहरू अत्यन्तै कडाइ गर्छन्। उनीहरूले रोग सक्रिय छैन भनेर बुझ्दा पनि स्वीकार नगर्ने अवस्था हुन्छ।”
कानुनी र प्रशासनिक पक्ष
वैदेशिक रोजगार विभागका अनुसार, मेडिकलमा अस्वीकृत हुने श्रमिकमध्ये करिब ३०% मा छातीको समस्या देखिन्छ। यसले नेपालको श्रम आप्रवासनमा ठूलो असर पारेको छ।
सरकारले स्वास्थ्यमा असफल भएका श्रमिकले बुझाएको रकम फिर्ता पाउने व्यवस्था गरेको भए पनि व्यवहारमा धेरैले रकम फिर्ता पाउन सक्दैनन्।
के गर्ने? समाधानका उपाय
- पहिल्यै परीक्षण गर्ने
- विदेश जाने निर्णय गर्नेबित्तिकै नजिकैको प्रमाणित मेडिकल सेन्टरमा गएर Chest X-ray गराउने।
- TB वा अन्य रोग भए उपचार पुरा गर्ने
- यदि रोग सक्रिय छ भने तुरुन्त औषधि सुरु गर्ने र पूर्ण कोर्स पुरा गर्ने।
- नक्कली रिपोर्ट नबनाउने
- धेरैले नक्कली रिपोर्ट बनाउन खोज्छन्। तर विदेश पुगेपछि फेरि मेडिकल हुँदा तुरुन्त पत्ता लाग्छ र श्रमिकलाई डिपोर्ट गरिन्छ।
- स्वास्थ्य सचेतना बढाउने
- धूलो, धुवाँ र प्रदूषणबाट जोगिने बानी बसाल्ने।
- नियमित स्वास्थ्य जाँच गर्ने।
तथ्याङ्क (२०७९/८० आर्थिक वर्ष)
| कारण | अस्वीकृत श्रमिक संख्या |
|---|---|
| छातीमा दाग/फोक्सो समस्या | २८,०००+ |
| हेपाटाइटिस (B/C) | १७,०००+ |
| HIV वा यौनजन्य रोग | ८,५००+ |
| उच्च रक्तचाप/मधुमेह | ६,०००+ |
| अन्य | १२,०००+ |
विशेषज्ञको सुझाव
वैदेशिक रोजगार बोर्डका अधिकारी रामहरि दाहाल भन्छन्:
“विदेश जानुअघि श्रमिकहरूले कानुनी प्रक्रिया मात्र होइन, स्वास्थ्य परीक्षणलाई पनि प्राथमिकता दिनुपर्छ। छातीमा दाग देखियो भने यो जीवनको अन्त्य होइन, तर त्यो बेला वैदेशिक रोजगारीको अवसर गुम्न सक्छ। त्यसैले स्वास्थ्यलाई पहिले नै ध्यान दिनुपर्छ।”
निष्कर्ष
वैदेशिक रोजगारीमा जान चाहने नेपालीका लागि छातीमा देखिने दाग एउटा ठूलो अवरोध बनेको छ। यो प्राविधिक शब्द भए पनि हजारौँ श्रमिकका सपना भंग गर्ने कारण बनेको छ।
यो समस्याको समाधान सजिलो छैन। तर सचेतता, समयमै स्वास्थ्य परीक्षण, उपचार, र सरकारले श्रमिकमैत्री नीति ल्याए मात्र यसले समाधान पाउन सक्छ।
👉 विदेश जानुअघि “छातीमा दाग” को जोखिमबारे सचेत रहनु भनेकै सुरक्षित रोजगारीतर्फको पहिलो कदम हो।
